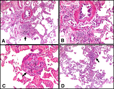
Fig. 5

Photomicrographs showing interstitial and peribronchiolar ill- formed non-necrotizing granulomas (arrows) together with interstitial lymphoplasmacytic inflammatory infiltrates. [H&E original magnification × 40, ×100, ×100 and × 40 in a through d, respectively]