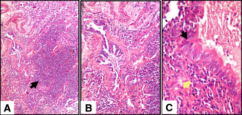
Fig. 4

Lung biopsy of the same HP patient in Fig. 1 (Photomicrographs) showing (a) Dense interstitial peribronchiolar inflammatory infiltrates (black arrowhead) [H&E original magnification x40], (b) Peribronchiolar lymphoplasmacytic cellular infiltrates (cellular bronchiolitis) and fibrosis [H&E original magnification x100] (c) Higher magnification showing the inflammatory cells (yellow arrowhead) in the bronchiolar wall and lining epithelium (black arrowhead) [H&E original magnification × 200]